







小児矯正は、永久歯が生えそろう前の“成長期”に行える治療です。
歯が並ぶスペースをつくり、将来の噛み合わせが崩れにくい環境を整えます。

成長が終わってからの矯正は、治療期間や費用の負担が大きくなることがあります。
早い段階で確認することで、必要最小限の治療提案につながります。

拡大床は、顎の幅を少しずつ広げて、歯が並ぶスペースをつくる装置です。
取り外しができるため、生活に合わせた運用が可能です(適応・管理は要相談)。

矯正中は装置の影響で磨きづらくなることがあります。
当院では、必要に応じてクリーニングやブラッシング指導を行い、虫歯予防も一緒に取り組みます。

矯小児矯正は「続けること」が大切です。
土日祝も診療しているため、ご家庭の予定に合わせて通院計画を立てやすくなります。
永久歯が生えそろう前〜生えそろう途中に、
歯並びや顎の成長を整え、将来の歯並びが崩れにくい土台をつくる治療です。


※お子さまの状態によって、1期治療のみで終えられる場合、2期治療が必要になる場合があります。
3歳〜12歳ごろ
※歯の生え変わりや顎の成長には個人差があります。最適な開始時期は診察で判断します。







※効果には個人差があります。詳細はご相談ください。

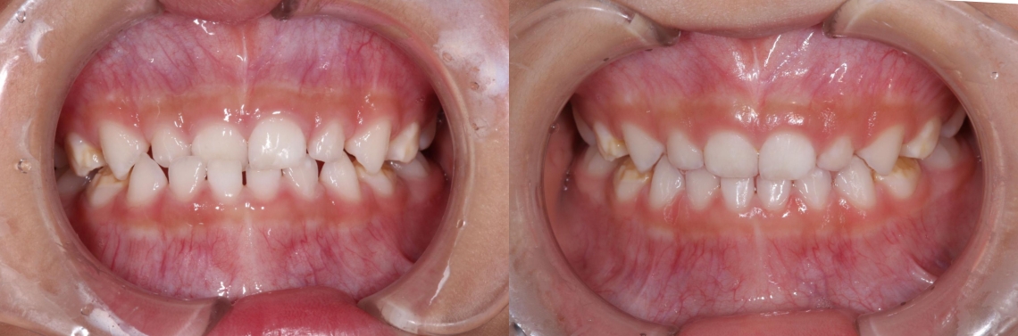
| 年齢 | 4歳女性 |
| 症例 | 上の前歯が片方だけ引っ込んでいる(乳歯列) |
| 治療期間 | 6ヶ月 |
| 検査費/初回診断費用 | 11,000円(税込) ※消費税10 % |
| 治療費 | 88,000円(税込) ※消費税10 % |
| 治療内容 | 矯正用マウスピースの装着(就寝時) |
| リスク・副作用 | 患者様と保護者の協力が必要。置を使用しなければ効果は得られません |
私たちは「食事こそ健康の基本」だと考えています。
そして、健康的な食生活を支えるために欠かせないのが お口の健康です。
しっかり噛めると、食事がもっと美味しく感じられ、毎日の満足感にもつながります。
逆に、歯や噛み合わせに問題があると、食事の楽しみが減ってしまうだけでなく、
将来の健康にも影響することがあります。
だからこそ当院は、治療だけでなく 「歯を守る予防」 をとても大切にしています。
虫歯や歯周病の予防はもちろん、お子さまの成長期には 歯並びや顎の育ちを整えることも、
将来の健康につながる大切なサポートだと考えています。
親御さんが不安に思う「いつ始めるべき?」「必要かどうか?」も、わかりやすく丁寧にご説明します。どうぞ安心してご相談ください。
| 2001年 | 奥羽大学歯学部 卒業 |
|---|---|
| 2001年 | 医療法人徳真会「まつむら第二歯科」勤務 |
| 2001年 | 医療法人徳真会「まつむら第二歯科」分院長 就任 |
| 2005年 | 医療法人顕正会「ライオン歯科」分院長 就任 |
| 2005年 | メディケア歯科クリニック茅ヶ崎 開院 |
| 2008年 | 医療法人社団伸詠会 理事長 就任 |
| 2010年 | メディケア歯科クリニック小山 開設 |
| 2011年 | メディケア歯科クリニック下妻 開設 |
| 2013年 | メディケア歯科クリニック新船橋 開設 |
| 2014年 | メディケア歯科クリニック長野三輪 開設 |
| 2014年 | メディケア歯科クリニック新発田 開設 |
| 2014年 | メディケア歯科クリニックさいたま新都心 開設 |
| 2016年 | メディケア歯科クリニック豊中 開設 |
| 2016年 | メディケア歯科クリニック狭山 開設 |
| 2017年 | メディケア歯科クリニック小松 開設 |
| 2023年 | 湘南メディケア歯科・矯正歯科 開設 |



小児矯正は、内容によって医療費控除の対象となる場合があります。
必要書類や対象条件についても、お気軽にご相談ください。
先天性疾患に起因する咬み合わせ異常や、外科手術を伴う顎変形症など、
一部ケースでは保険適用となることがあります(条件があります)。
私達は患者様からお口の健康を任せていただけるように、
頼りがいのある歯科医院を目指しています。
お口のトラブルがございましたら、お気軽にご相談ください。
装置が入ると磨きづらくなることがあります。当院では、クリーニングや歯みがき指導など、虫歯予防も含めてサポートします。
24時間オンラインで対応可能なため、あなたのペースに合わせて受講できます。
専属コンシェルジュがしっかり管理してくれるため、仕事や学校で忙しくても問題ありません。
リモートアカデミーではアカウント設計からコンシェルジュがしっかりサポート。
あなたの理想や性格に合わせておすすめの投稿内容をご提案いたします。
特技があることは武器になりますが、無くても活躍されてる方は多くいらっしゃいますので心配はいりません。視聴者が楽しいと思うような動画制作を一緒に継続していきましょう。

〒380-0803
長野県長野市三輪9丁目43-24 イオンタウン長野三輪 2F
長野駅からバスで18分
診療時間
AM:10:00 ~ 13:30 PM:14:30 ~ 19:00
※診療最終受付:18:30まで
※土日祝も通常通り診療(年中無休)